近期,有很多小朋友刚刚从幼儿园毕业,9月即将成为一名光荣的小学生。身份升级的同时,家长们发现,宝宝的小乳牙也开始松动,新的恒牙悄悄冒出头来,许多宝宝因此经历了新的人生第一次——拔牙。然而爸爸妈妈们突然有一天发现,宝宝从前一口整整齐齐的,珍珠米一样的牙齿,怎么变成了前后交错,歪歪扭扭的形状?尤其是两颗大门牙,又大又宽,有的当中还并不拢——这是怎么一回事?
家长朋友们可以观察一下乳牙和恒牙的大小。新长出的门口几颗恒牙的宽度都比乳牙大很多。有些朋友会觉得新牙齿太大了不正常,其实不然。牙冠的大小不会随着年龄增长而变大,而孩子的脸则会越长越开。现在显得不协调,是因为孩子的脸还小,等到他们长大成人时,这几颗“大门牙”就恰到好处了。
另一方面,现如今随着生活水平的提高,精细食物的增多,以及审美的变化,人的脸越来越向“小V脸”方向改变了。这一点在成人当中感受最明显的是智齿发炎,对孩子来说,最常见的就是前牙长不开、不整齐了。由于牙槽骨宽度不足,个头小的乳牙还能勉勉强强排列整齐,等到新的大恒牙萌出后,牙齿们就只能委委屈屈地前后交错,挤在一条“长凳”上了。此外,有些孩子养成了一些不良口腔习惯,例如吃手,咬唇,吐舌,口呼吸,嘬颊等等,更加剧了前牙的不整齐,甚至形成牙和面部的畸形。
灿烂的微笑至少要露出门口的八颗牙齿。这几颗容易发生不整齐的牙齿,正是微笑的“门面”。美观问题之外,拥挤的前牙还带来了卫生问题。由于牙齿前后交错,产生许多难以刷到的卫生死角,而这个年龄的孩子一般不会再愿意让父母为他们清洁牙齿,因此口腔卫生难以保持,容易引发牙结石以及蛀牙。
那么,在这个阶段,有什么办法解决吗?
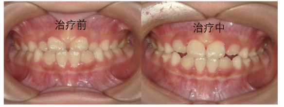
有的,正畸是一个有效的方法。很多朋友会问,现在孩子还在换牙,还有很多牙齿没有替换,也可以做牙齿矫正吗?确实,传统观念中,正畸要从青少年时,牙齿全部替换后开始。但近些年来,早期矫正的观念越来越深入人心了。儿童在替换上排4颗前牙以及下排4颗前牙之后,大约8岁前后,会有一年多的时间不再换牙,这个时间可以留给我们进行牙齿矫正,早期解决已经出现的问题,并为以后的牙齿替换留出空间,预防未来可能出现的一些问题。
这一阶段,我们可以使用一些工具破除不良习惯。例如唇挡,舌刺,前庭盾等。
也可以通过牙弓扩宽来获得间隙,排齐前牙
也可以纠正前牙的扭转,关闭前牙的缝隙
也可以牵引埋伏阻生长不出来的牙齿
也可以纠正地包天
从而获得自信而灿烂的微笑
。
在牙套的选择上,除了传统的“钢丝”“铁片”“绑钢牙”固定托槽矫治,还有“隐形牙套”、“透明牙套”无托槽隐形矫治技术。“钢牙”矫正一般需一个月复诊一次,牙齿上要贴金属装置,不能自行取下,不适感略强,需适应。而隐形矫正牙套美观舒适,不容易引发溃疡,社交距离下看不出戴了牙套,而且可摘戴,吃饭刷牙时取下,其余时间佩戴。平常在家自行约一至两周更换一次牙套,一般可2月左右复诊一次。两种类型的牙套根据小朋友实际情况选择。美观和健康,两者都很重要。正畸的早期干预可以二者兼顾,给孩子一口整齐的牙齿和美丽的笑容。
文:口腔科 徐淑桦/医师
采编:龚紫兰
校审:原工杰 田园
作者简介
徐淑桦,上海交通大学医学院口腔正畸学硕士,上海第九人民医院住培,擅长儿童早期错颌畸形地包天、牙齿不齐、口腔不良习惯的诊治;青少年牙齿矫正以及儿童口腔常见病:龋病,牙髓病,根尖周病及口腔黏膜病的诊疗。
出诊时间:周一周六下午,周三周五周日上午(北京西路院区)
上海市儿童医院口腔科是专门从事儿童口腔疾病临床诊断治疗及各年龄段儿童及青少年错合畸形诊治的专业化科室。目前拥有主任医师2人,副主任医师1人 ,主治医师7人, 医师7人,其中博士学位1人 ,硕士学位13人。我院两个院区均设有口腔科,开展了口腔普通门诊,专家门诊,特需门诊和正畸特色门诊。
目前主要临床诊治内容包括儿童口腔科和正畸科常见多发病及疑难病。
常规诊疗项目:
口腔预防:乳、恒牙的窝沟封闭,涂氟等
口腔内科:乳牙龋病、牙髓根尖周病的治疗,年轻恒牙的保髓治疗(盖髓术和活髓切断术)及根尖诱导形成术,恒牙缺损修复及根管治疗,龈上洁治术。
口腔外科疾病:唇粘液囊肿摘除术,舌系带过短延长术,多生牙、乳牙拔除术,外伤清创缝合术等。
口腔粘膜疾病:牙龈炎、溃疡、疱疹性口炎、鹅口疮,地图舌、口角炎等的诊治。
特色诊疗项目:
无托槽隐形矫治
儿童口腔舒适化全麻治疗
乳牙期、替牙期地包天治疗,牙弓狭窄,后牙反合,门牙间隙过大等儿童早期矫治
口呼吸的正畸治疗,各类口腔不良习惯的破除,特色肌功能训练,夜磨牙的正畸治疗
青少年各类常见及疑难错合畸形的矫治
前牙外伤冠折的光固化美容修复, 后牙预成冠修复
乳牙间隙管理、间隙保持,恒牙早萌及迟萌的早期干预。
口腔科专科特色介绍
我院口腔科是国内较早开展早期矫治的科室,具有雄厚的正畸专科医师力量,均毕业于北医,首医,空军军医大学,交大,复旦,同济等国内口腔知名院校,同时具备儿童口腔常见病和儿童及青少年疑难牙齿错颌畸形的综合诊治能力。2021年我院正式成立“儿童口腔早期矫治中心”,融入数字化诊疗,能够更加直观的让家长知晓儿童存在的牙齿咬合问题,及时给予专业的指导并高效精准的制定个性化的治疗方案,帮助家长和儿童一起去预防、阻断口腔问题的发展。我院口腔科的特色和优势有以下几点:
1. 知识储备丰富:口腔科团队在儿童口腔疾病的预防、检查和治疗方面拥有更为深入的知识储备,能够更全面地了解孩子的口腔问题。
2. 专业技能娴熟:口腔科团队拥有丰富的牙齿矫正经验,对牙齿颌骨的生长发育和矫正技术有着更为深入的了解,因此在咬合问题检测和治疗方面更具有优势。
3. 数字化诊疗提供个性化方案:采用3D数字化治疗,更加舒适便捷,可制定针对性更强、更个性化的方案,更好地解决孩子口腔问题。
4. 诊疗设备先进:我院口腔科拥有大视野CBCT能满足口腔颌面部疾病的3D检查手段,全景机,小牙片机,国际一流的Dolphin透影测量软件,先进的牙科根管治疗仪等设备,能够完全满足儿童口腔疾病检查及诊治的不同需求,医生能够更加快速、准确地给出判断和治疗孩子口腔问题的方案。
5. 环境温馨舒适:诊室环境温馨充满童趣,我们也特别注重孩子的心理健康和情感体验,尽量使儿童感到舒适和放松,正畸治疗集中约诊,更方便儿童就诊。
我们会以我们的专业,责任,态度为您宝宝的口腔健康及全身健康保驾护航!
上一条:带您了解儿童MOG相关性视神经炎


